திருவனந்தபுரம்: 44 வயதுப் பெண்ணின் நுரையீரலில் சிக்கியிருந்த மூக்குத்தியை கேரள மருத்துவர்கள் அறுவை சிகிச்சை மூலம் வெற்றிகரமாக அகற்றி உள்ளனர்.
கேரள மாநிலம், கொல்லம் பகுதியைச் சேர்ந்த அப்பெண், கடந்த 12 ஆண்டுகளாக மூச்சுத்திணறல் காரணமாக அவதிப்பட்டு வந்தார்.
பல்வேறு சிறப்பு மருத்துவர்களைச் சந்தித்து சிகிச்சை பெற்ற போதிலும் அவரது பிரச்சினைக்குத் தீர்வு கிடைக்கவில்லை.
ஆஸ்துமா நோய் வந்திருக்கக்கூடும் என்று கருதி கொல்லம் பகுதியில் உள்ள தனியார் மருத்துவமனைக்குச் சென்றபோது, பரிசோதனைகள் மேற்கொள்ளப்பட்டன.
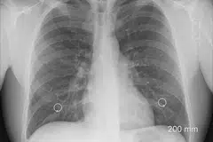
அப்போது அவரது நுரையீரலில் சிறிய பொருள் ஒன்று சிக்கி இருப்பது கண்டுபிடிக்கப்பட்டது. அது ஒரு தங்க மூக்குத்தியாகும்.
இதையடுத்து ‘ரிஜிட் பிராங்கோஸ்கோப்பி’ என்ற அதிநவீன அறுவை சிகிச்சை மூலம் அந்த மூக்குத்தியின் சிறிய பாகத்தை மருத்துவர்கள் வெளியே எடுத்தனர்.
தற்போது அந்தப் பெண்மணி நலமாக உள்ளார் என்றும் அவர் வழக்கமான பணிகளில் ஈடுபடலாம் என்றும் மருத்துவர்கள் தெரிவித்துள்ளனர்.
அப்பெண்மணி தூங்கும்போது மூக்குத்தி உடைந்து, அதன் ஒரு பாகம் வாய் வழியாக நுரையீரலுக்குள் சென்றிருக்கலாம் என்று கருதப்படுகிறது.

